A woman in a red top smiles at the camera with her hands clasped together while sitting behind a desk.

Smile Gallery

The image shows a close-up of a person s mouth with yellowed teeth, displaying a wide smile revealing multiple dental issues including discoloration and possible decay.

Before

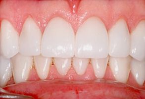
The image shows a person smiling with a bright smile, displaying a set of white teeth and pink gums, against a plain background.

After

The image shows two photographs side by side of an open mouth with yellowed teeth and visible stains, indicating poor oral hygiene.

Before

The image shows a close-up of a person s teeth with yellowing enamel, indicating potential dental issues such as staining or decay.

After

The image shows a close-up of a person with a broad smile revealing multiple teeth, including a gap between two front teeth.

Before

The image shows a close-up photo of a person s smiling mouth with white teeth and a mustache.

After

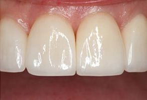
The image shows a close-up view of a person s mouth with visible teeth and gumline, featuring a dental implant on one side.

Before

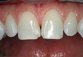
The image shows a close-up of a person s teeth with a focus on a dental implant, which appears to be a prosthetic tooth, set against a red background that resembles a mouth, likely for visual comparison purposes.

After

The image shows two views of a dental implant with a natural-looking crown, set against a contrasting background for clarity.

Before

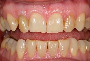
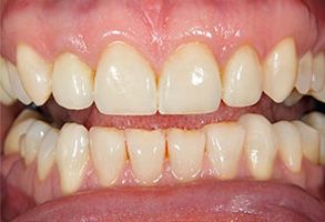
The image shows a close-up view of a person s teeth with a focus on a large smile displaying multiple teeth, some of which are discolored or stained, revealing a red gum line and the inside of the mouth.

After

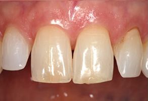
The image shows a close-up of a person s mouth with yellowed teeth and a red gumline, likely indicating poor oral hygiene or advanced dental decay.

Before

The image shows a close-up of a person s teeth with a focus on a large gap between two front teeth, emphasizing dental imperfections.

After

The image displays a close-up view of a person s teeth with a noticeable gap between the front teeth, showing signs of wear and staining, and possibly indicating dental health issues.

Before

An up-close view of a person s teeth with a focus on their front teeth, showcasing their dental condition.

After

The image displays a circular logo with text inside it, but the specific content of the text is not clear due to the resolution.
The image shows a dark blue banner with a wavy pattern at the bottom, positioned horizontally across a grey background.
SUCCESS STORIES

Read What Our Patients Say